Restorative Dentistry
People damage or lose teeth every day from injury, disease, or decay. This damage can destroy the chewingfunction and cause pain and infection. An open space will leave a gap in your smile and compromise eating. Chewing forces become unbalanced andmove to another part of the mouth
. This causes the remaining teeth to shift out of place and damages your appearance and comfort. Here are some of your restorative dentistry options which include inlays, onlays, crowns, fillings, bridges and porcelain veneers, all expertly done in the Encino offices of Dr. Allan Melnick.
Dental Crowns
Dental crowns, also known as "caps", are used by dentists to cover and as a way to restore the entire tooth when a major problem has developed. Crowns can be made of gold, porcelain or resin individually or with combination of these materials that have been specially designed for dental use.
People with broken, cracked, decayed, misaligned, or badly worn teeth are good candidates for having a dental crown. Crowns are also used as well for people who would like to improve their smile. The procedure isone with several steps involvedfor the dentist but usually justtwo visits are needed of less than an hour each.
It is very strong, and can be made to match the color, shape and appearance of a natural tooth. In the hands of an experienced and skilled dentist the selection of the perfect type of crown can be made. It is very hard to tell that the porcelain crown it is not a perfectly natural tooth. Working with a skilled dental ceramic technician is essential for optimum results.Dr. Allan Melnick, Encino Dentist, has made over 11,000 crowns and has gained great expertise in this restorative dentistry procedure. (Follow this link and you can readour detailed full page reviewon the subject ofDental Crowns .
Dental Bridges
A dental bridge is fabricated to close the space left when a tooth is missing or lost.It can not be over emphasized how much damage occurs when an open space occurs and is not closed. There are several ways to do this. The designs for bridges vary, but by far the most common technique in today's restorative dentistry involves two crowns and a false tooth replacement in between.
As with crowns, a bridge can be made of several materials, but generally porcelain fused to a metallic framework is most often the best choice. Briefly, in the dental office the teeth at either end of the space are prepared for crowns, molds made and temporary crowns are placed.
In the laboratory a technician specially trained in restorative dentistry and porcelain in particular will construct a center unit to restore the function, appearance and stabilize the missing tooth is constructed. All of the parts are connected together into one unit. Back in the dental office about two weeks later the bridge is cemented in place.
Adjustments to the bite and check-up appointmentsare made as necessary for the perfect fit and feel. In additionour patients aregiven detailed instructions on the steps necessary to maintain their new bridge. Keeping the area clean is essential. Dr. Melnick taught this restorative dentistry procedure at UCLA Dental School and has developed great expertise in the replacement of missing teeth. Being conservative, he likes to blend the newer and the older techniques to obtain the optimum results available to the restorative dentist today. (Read more about Dental Bridges)
Dental Implants
Restorative dentistry has a fantasticnew member to the list of options available today. To start with a firm foundation for an implant a tiny titanium root shaped rod is inserted into the socket or a scket is created by the dentist. This post creates a root that fuses with natural bone. On top of the implant, we can place a beautiful cosmetic tooth. This creates a dental implant restoration that will look, feel, and function like it has always been there. This has only been an option for the last ten years and is the gold standard in restorative dentistry. (Read more about Dental Implants)
White Fillings
To ensure ourpatients the bestpossible results, we use verystrong, highly sophisticated ceramiccomposite resins to fill and restore cavities. We are now on the 9th generation of these materials andDr. Melnick has over twenty years of experience in their use. The traditional amalgam fillings result in blackish, highly visible restorations that contain large amounts of mercury compounds.
In addition to the concern about mercury,an amalgam filling will weaken and crackthe tooth. With a composite
resin, you get a lasting filling that closely matches your tooth's natural color and also strengthens and restores the remaining toothby bonding together all of the surfaces. You will not have black fillings showing in your mouth and expose your cavity repairs to the world.
At the same time you are protecting your teeth from breaking because of the adhesive qualities of the materials in this procedure.With today's state of the art adhesives the tooth isstronger than before the white bonded filling was placed and is almost back to its original strength.
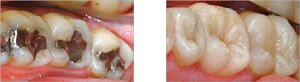
Inlays and Onlays
Similar to a white resin filling, an inlay or onlay restores extensive tooth decay by reconstructing the chewing surfaces. Custom made in a dental
laboratoryfrom porcelains or resins. An inlay is a restorative for the more internal areas of the biting surface. An onlay restores much larger areas of the biting surfaces and a portion of the sides of the tooth.
An onlay will cover more of the tooth and therefor strengthen the tooth more than the inlay. Inlays and onlays closely match your natural enamel color for a beautiful restoration of the toothto normal appearance and function. They also have wear properties that are excellent and usually last for many years.
Partial Dentures
You need teeth to maintain a healthy facial appearance and a attractive smile. Also, a partial denture restores and eases speech and chewing. With Encino's best partial dentures, you can bring your mouth back to comfort, form and function, especially with our beautiful materials. Each case is specially designed by Dr. Melnick and a masterprosthetic dental technician. Our technicians have made literally thousands of partial dentures.
Withour unique partial denture designsweare able to create the applianceslike none other available in the Encino, Tarzana, Sherman Oaks, or Woodland Hillsareas. We have hundreds of happy patients using our partial dentures each day. A good rule of thumb to remember is that the more bone structure and teeth available to stabilize the appliance, the higher the level of comfort and retention. We utilize the two premier dental labs in Los Angeles for the construction ofour partial dentures. These labs only use the highest quality materials availableand we have had a verypositive response from our patients.
"I am so pleased. I am now more comfortable than I have been in years.From my first visit to your office I was completely relaxed and felt that I was in good hands. All I can say about you is that you are the greatest! Your positive words as we progressed with my treatment really made me feel good. Thank you all." Betty W., Banking - Northridge |
