White Fillings and Bonding
The new white fillings and bondings are wonders of modern dental science. There are many advantages to white fillings when used in many types of dentistry. These ceramic/porcelain/resin fillings have opened up many new possibilities. It has been a giant leap foreword. Dr. Melnick loves the newest technology and seminars.?
We are proud to have been one of the first cosmetic dentists in Encino, Tarzana, Sherman Oaks and Woodland Hills areas to adopt white fillings into our practice. We want to give you only the newest and best care available.
For clarity as you look at this information, a white filling and bonding a really the same thing. All white fillings are attached to the tooth by a bonding process. The word bonding is a term?sometimes used for a white filling on a front tooth to restore the tooth or improve it's appearance.
![]() Metal-Based Fillings compared to White Fillings ![]() |
We now have dramatically improved options to offer to our patients. Today's advanced research has given us a white filling composed of high tech ceramics, porcelains and resins that fall in the sub-micron particles range. The resin acts as a binder to hold the particles together and also allows bonding to the tooth.
This advanced resin contains light-sensitive agents that fully harden the fillings when exposed to a very strong blue light for a few moments. This means that the filling is ready to use when one leaves the office. Dr. Melnick as a general and family dentist studies new materials and research constantly to select the best for his patients.
It is also important for the dentist to?select the material best suited for the situation. A part of the selection factors are based on whether durability or looks is the prime consideration. Beyond the standard colors, a dentist with a good sense of color can blend shades. Very few general or cosmetic dentists in Encino, Tarzana, Woodland Hills or Sherman Oaks can do this skillfully.
At the same time as white fillings were developed about 40 years ago, a process to bond these fillings to the tooth enamel was invented. At first only the tooth enamel could be bonded. Now the inner layer of the tooth, called dentin, can also be strongly bonded so as to provide added strength. The bond strengths are now greater than the strength of the tooth itself.This great strength of the bond holds the tooth together and the filling in place.
There are many choices for today's dentist. Here in Encino, Tarzana, Sherman Oaks and Woodland Hills we carefully select the best products from around the world. The U.S., Japan, Germany, Sweden, Switzerland, and Australia are now placing products on the market. New products appear constantly.?
Dr. Melnick is cautious in adopting new product, and carefully evaluates each newly introduced material. He prefers to wait for independent studies, reports of other clinical dentists and the "the test of time". Most manufacturers cleverly employ attractive young ladies to convince the dentist how wonderful their new product is. Dr. Melnick?is immune to this being older?and always puts his patient's interests first. What a guy!
There are many advantages to using the bonded porcelain/ceramic/resins fillings and of course some disadvantages. The summary below lists the important ones.
- White bonded fillings hold the tooth together and strengthen it.
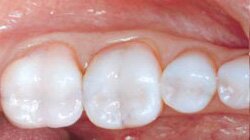
- The filling can be match to the surrounding tooth for very good appearance.
- These restorations will not darken?the tooth as?seen when mercury/silver fillings are used.
- White fillings can be used immediately since they are fully hardened in the office.
- These fillings contain no mercury or any other substance that is harmful to man
- White fillings are "green'. They send no pollutants into the environment
- Since they are non metallic they are less sensitive to hot and cold.
- They require less tooth removal to place and restore the tooth.
- Today's materials have good wear and breakage resistance and usually last many years.
- The process is complex and must be done very carefully by a highly trained?dentist well experienced in their use for the process for it?to work? properly. As a cosmetic dentist Dr. Melnick is expert in this area.
- Since?the process?requires more time and expertise white fillings are somewhat more expensive.
|
"My smile is now better than I ever hoped for. I find myself smiling all the time. Jack S., Teacher, North Hills |



My decision to have all my old metal fillings removed was certainly the right one for me. The process was fast, painless and easier than I ever thought it could be.?Thanks for my great new smile. I love it."